3D Lab

3D Analytics Lab

The laboratory supports users performing imaging experiments at the large scale facilities. The Lab can be used for complex 2D and 3D analyses of tomographic measurements carried out at the neutron imaging instrument CONRAD II, the synchrotron tomography instrument at the BAMline and in the X-ray-Tomography Lab. State-of-art soft- and hardware is available. In addition we provide our own innovative special software for 3D data reconstruction and analysis. Among the offers are e.g. Tomographic reconstruction with innovative mathematical algorithms, Holotomographic reconstruction algorithms, Complex 3D image analysis procedures, 3D crack propagations, Labeling and individual particle shape analysis, Watershed analysis and Euclidian distance transformations, Normalization procedures for in-situ radiographic measurements (sample movement corrections etc.).

Software available:

  • Octopus

  • VG Studio Max

  • Avizo

Complex 3D image analysis procedures

Complex 3D image analysis procedures

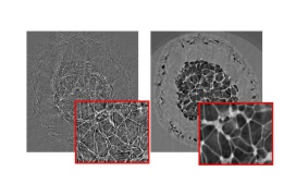
Tomographic image of a rose stem: Left image: conventional phase contrasts reconstruction; right: holotomographic reconstruction

Tomographic image of a rose stem: Left image: conventional phase contrasts reconstruction; right: holotomographic reconstruction

3D crack propagations

3D crack propagations

Labeling and individual particle shape analysis

Labeling and individual particle shape analysis